Let's be Together

Extra info thumb
  • 1547 Alfred Drive, New York
  • +718-219-9927
  • example@gmail.com

Bone Infections

OilyTheme

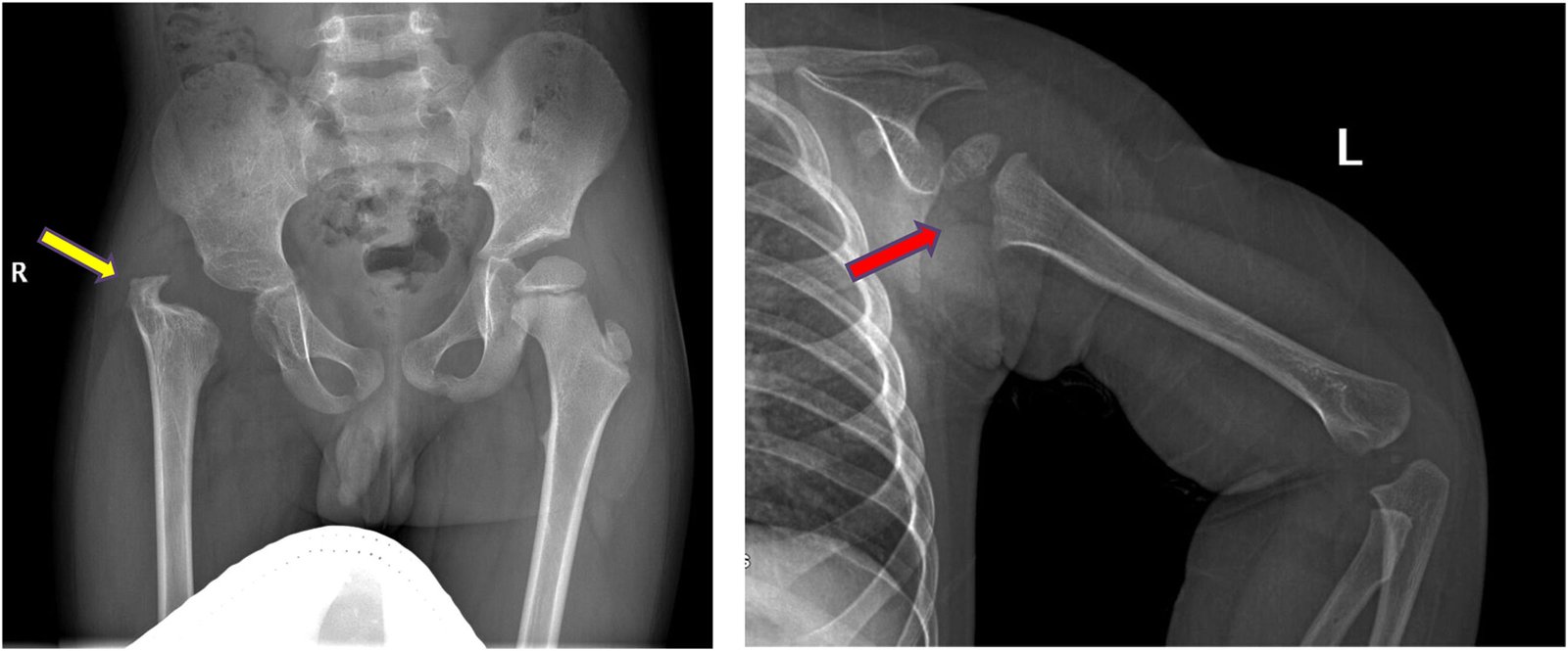
Bone Infections (Osteomyelitis) & Joint Infection (Septic Arthritis)

Infection in bone or joint is a serious condition. If not detected and treated early, it can lead to grave consequences and pose risk of morbidity and mortality to the patient.

Treatment of bone and joint infection , whether primary or secondary due to some orthopaedic surgery where there is presence of implant or after joint replacement, is available at our hospital. Various modalities used to treat infection include radical debridgement, antibiotic loaded beads, antibiotic coated implants, Illizarov fixator to address bone defect and to correct limb length.

OilyTheme